
El equipo médico veterinario de la Corporación para el Desarrollo Sostenible del Área de Manejo Especial de La Macarena (Cormacarena) se trasladó hasta al barrio Las Villas, en Guamal, departamento del Meta, con el objetivo de rescatar una ardilla que estaba gravemente lastimada.
El llamado de la comunidad a la línea de atención de fauna silvestre, permitió el rescate del ejemplar exótico que padecía una fractura en el fémur en su miembro posterior izquierdo, la cual le impedía movilizarse por sí misma.

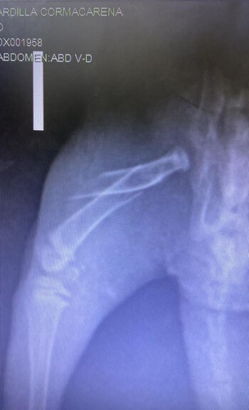
Luego de una valoración médica y de examinar la gravedad de sus heridas, el animal silvestre fue llevado hasta la clínica veterinaria ‘Solo Patas’, ubicada en la zona de Vanguardia en Villavicencio. Allí se le realizaron una serie de radiografías para luego ser intervenida quirúrgicamente, implantando en su extremidad una placa de platino, material utilizado para estabilizar sus huesos y restaurar sus fracturas.

Luego de unas horas en el quirófano, la cirugía fue todo un éxito y el animal respondió satisfactoriamente, recuperando la movilidad en su extremidad y volviendo a caminar al siguiente día, tras aplicarle algunos medicamentos para el dolor, sutura para cicatrizar, anestesia y antibiótico.
Cabe destacar que con esta especie, ya son 8.019 animales silvestres que Cormacarena ha rescatado en los últimos cuatro años a través de la ambulancia, víctimas de atropellamiento vial, tráfico ilegal, domesticación y entregas voluntarias en 27 de los 29 municipios del Meta.

Finalmente, es importante recordar que la Corporación tiene al servicio la ambulancia las 24 horas del día, los siete días de la semana, para que la ciudadanía pueda comunicarse a través de la línea de atención 321-482-0327, y así garantizar la protección de las especies, el retorno a su hábitat natural y continuar preservando la fauna silvestre del territorio metense.
En Caldas: rescatan seis especies de fauna silvestre que eran tenidos como animales domésticos
La Seccional de Carabineros y Protección Ambiental del Departamento de Policía de Caldas, la Policía Ambiental y Ecológica de Caldas, en compañía de la Corporación Autónoma Regional de Caldas (Corpocaldas), lograron el rescate de seis especies de fauna silvestre que eran retenidas ilegalmente como mascotas.
En respuesta a las denuncias ciudadanas realizadas a través de la línea 123, que alertaron sobre el cautiverio ilegal de varias especies de fauna silvestre en el corregimiento Samaria, municipio de Filadelfia, norte del departamento, los uniformados y funcionarios de Corpocaldas se desplazaron hasta los lugares mencionados para verificar la situación y rescatar a los animales.
De acuerdo con las autoridades, los seis animales fueron puestos a disposición de Corpocaldas en el Centro de Atención, Valoración y Rehabilitación (CAVR), donde serán sometidos a una serie de pruebas y tratamientos veterinarios para lograr su plena recuperación y poder liberarlos a su hábitat natural.
Es un delito y afecta el medioambiente: tener animales silvestres como mascota no solo les hace un grave daño a las especies, sino que también causa un grave desequilibrio en los ecosistemas. Si usted observa un caso de posible tenencia ilegal de animales silvestres y nota que se encuentran en alto riesgo, puede denunciar en la línea 123 o el número del cuadrante de Policía más cercano.
Más Noticias
Super Astro Sol resultado hoy 1 de diciembre de 2025
Este popular juego te da la posibilidad de ganas hasta 42.000 veces la cantidad de la apuesta

La canción más reproducida en Apple Colombia hoy
Entre una gran variedad de estilos y géneros, estos son los artistas que han tenido una mejor aceptación entre el público

Iván Cepeda, De la Espriella y Sergio Fajardo lideran intención de voto, según encuesta Invamer: expertos analizaron los resultados
Infobae Colombia consultó con analistas y académicos sobre los resultados de la encuesta Invamer y los posibles escenarios que se podrían presentar en 2026

Yeison Jiménez preocupó a sus fanáticos: fue sacado en ambulancia tras una presentación en Bogotá
El cantante de música popular tuvo que ser atendido por especialistas, lo que alertó a sus seguidores

Petro estalló contra John McNamara por supuestos vínculos con narcos colombianos: “En haciendas con aguardiente y con caballos de paso fino”
El mandatario señaló que el diplomático estadounidense se dejó influenciar por la clase dirigente antioqueña, algunos de cuyos miembros están ligados al narcotráfico y al paramilitarismo —según el jefe de Estado—

